
Inicio / Unidades de Tratamiento / Unidad de rejuvenecimiento / Cirugía de párpados
La cirugía de párpados, o blefaroplastia, es un procedimiento de aproximadamente una hora en el que se retira el exceso de piel del párpado superior a través de cicatrices mínimas. Con esto, se corrigen los signos de envejecimiento que afectan la zona ocular.
Es ideal para quienes quieren eliminar el exceso de piel del párpado superior o las bolsas debajo de los ojos, que generan un aspecto de cansancio permanente. El resultado es una mirada rejuvenecida y fresca, sin alterar la expresión natural de los ojos.
En AmayaClinic® te ofrecemos una prevaloración digital gratuita para obtener información y costos de tu cirugía de manera sencilla y segura. Recibirás un documento personalizado del Dr. Felipe Amaya tal como lo harías en una valoración presencial.
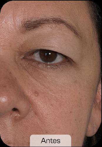
Antes

Edad: 52 años
País: Colombia
Después

Antes

Edad: 52 años
País: Colombia
Después

Antes

Edad: 58 años
País: USA
Después

Antes

Edad: 64 años
País: Colombia
Después

Antes

Edad: 84 años
País: Colombia
Después

Antes

Edad: 51 años
País: Mexico
Después

Antes

Edad: 55 años
País: Colombia
Después

Antes

Edad: 60 años
País: Colombia
Después

Antes

Edad: 58 años
País: Colombia
Después

Antes

Edad: 45 años
País: USA
Después

Antes

Edad: 55 años
País: Colombia
Después

Actualmente en AmayaClinic® ofrecemos diversas técnicas, tanto quirúrgicas como no invasivas, para lograr los resultados deseados por cada paciente.
Blefaroplastia Superior
Remueve el exceso de piel del párpado superior para
abrir la mirada.
Blefaroplastia Inferior
Elimina bolsas en el párpado inferior, rejuveneciendo
la zona ocular.
Pexia de cola de ceja
Eleva la cola de la ceja para mejorar la apariencia de
los párpados.

Infiltración de Ácido Hialurónico en Surcos Nasoyugales
Rellena y suaviza el área de las ojeras.

AmayaPeel ® de Párpados Inferiores
Peeling que elimina por completo las arrugas bajo los ojos.

Aplicación de Toxina Botulínica
Elimina líneas de expresión de las patas de gallita, el entrecejo y la frente y eleva la cola de las cejas.
Si consideras que uno de estos procedimientos puede ofrecerte tranquilidad, seguridad y confianza, en AmayaClinic® estaremos a tu lado, brindándote asesoría y apoyo en cada etapa del proceso.
La blefaroplastia se recomienda a partir de los 40 años, cuando empiezan a aparecer cambios en los párpados. El paso del tiempo favorece el escurrimiento de la piel y la aparición de bolsas bajo los ojos, que en algunos casos aparecen desde temprana edad.
Este procedimiento es efectivo para rejuvenecer la mirada y tratar preocupaciones como:
Todos los pacientes deben pasar por una evaluación preanestésica donde se analizan sus antecedentes y estado de salud para ofrecer un tratamiento seguro
La blefaroplastia superior dura aproximadamente una hora. Si se realiza tanto la blefaroplastia superior como la inferior, el procedimiento puede extenderse hasta 2 horas.
Los resultados son visibles de inmediato. Después de una semana, se retiran los puntos, lo que te permitirá disfrutar de tu mirada soñada.
En AmayaClinic® recomendamos la anestesia general cuando se realiza blefaroplastia inferior, la blefaroplastia superior se puede hacer con anestesia local o sedación.
Para conocer cuánto cuesta tu procedimiento en AmayaClinic®, puedes elegir entre una consulta presencial con el Dr. Felipe Amaya o realizar la prevaloración digital, la cual es 100% virtual y completamente gratis.
Se recomienda que los pacientes que viajan del exterior lleguen tres días antes del procedimiento para una adecuada preparación.
Te presentamos nuestro blog: una página creada para darte información valiosa dada por nuestros expertos sobre procedimientos, cuidados de salud, belleza y estética.